
Phoenix Research Laboratories Inc,
MICRON small animal retinal imaging microscope
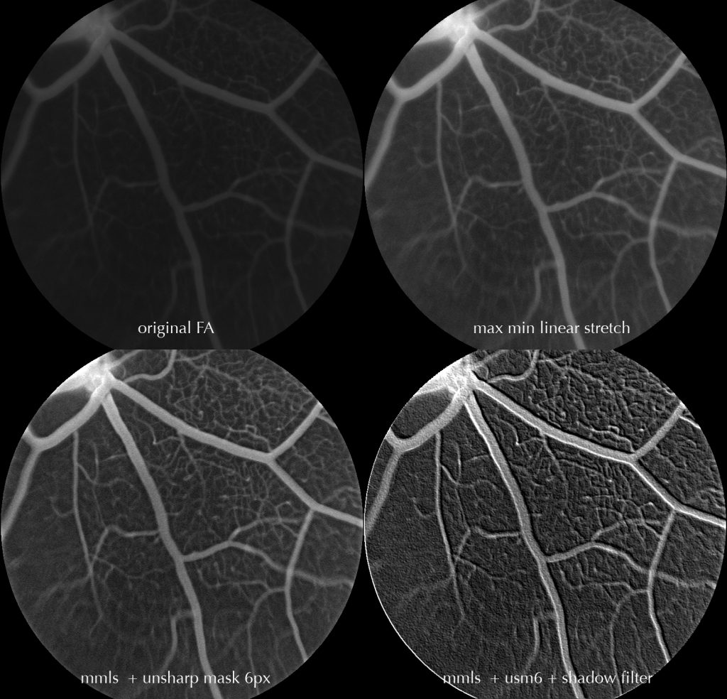
2008.09.23
C57bl/6J mouse
c57bl/6J IP 10% fluorescein 30 sec avi stream – single frame
Upper left = raw FA image
Upper right = max min linear stretch (mmls)
Lower left = rmmls + unsharp mask 6px (usm6)
Lower right = rmmls + usm6 + shadow filter

Phoenix Research Laboratories Inc,
MICRON small animal retinal imaging microscope
2008.09.23
C57bl/6J mouse
Initial images
Compositing:
Upper left = raw rgb :: rgb mapping
Upper right = rg [mean rg] :: rgb mapping to suppress blue scatter
Lower left = rg [mean rgb] :: rgb mapping to suppress blue scatter
Lower right = rg [var rgb] :: rgb mapping to suppress blue scatter

Phoenix Research Laboratories Inc,
MICRON small animal retinal imaging microscope
2008.09.23
C57bl/6J mouse
Max-min linear stretch
Compositing:
Upper left = raw rgb :: rgb mapping
Upper right = rg [mean rg] :: rgb mapping to suppress blue scatter
Lower left = rg [mean rgb] :: rgb mapping to suppress blue scatter
Lower right = rg [var rgb] :: rgb mapping to suppress blue scatter

Phoenix Research Laboratories Inc,
MICRON small animal retinal imaging microscope
2008.09.23
C57bl/6J mouse
Max-min linear stretch + unsharp mask 6px
Compositing:
Upper left = raw rgb :: rgb mapping
Upper right = rg [mean rg] :: rgb mapping to suppress blue scatter
Lower left = rg [mean rgb] :: rgb mapping to suppress blue scatter
Lower right = rg [var rgb] :: rgb mapping to suppress blue scatter
